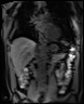
Bioxydyn uses dynamic gadoxetate-enhanced MRI to assess liver transporter function non-invasively. Gadoxetate is taken up by functioning hepatocytes and excreted into bile, allowing MRI to measure key aspects of hepatobiliary transport in vivo. By combining dynamic imaging with quantitative modelling, we can derive biomarkers of hepatocellular uptake and biliary excretion, alongside complementary measures such as relaxation time mapping.
This approach provides functional information that cannot be obtained from standard anatomical imaging or blood measurements alone. It is particularly relevant where changes in liver transport may affect drug exposure, clearance, or tissue accumulation.